Uno de los estudios preventivos que ha tenido un alto impacto en la sociedad es la llamada mastografía, el cual ha sido uno de los más efectivos en la detección temprana de lesiones malignas o cáncer en la mama. La Organización Mundial de la Salud (OMS) estima que gracias a esta técnica de revisión preventiva la reducción de muerte por esta enfermedad es de un 20 %. La realización de una mastografía rutinaria o anual a mujeres que al parecer no tienen ninguna enfermedad o patología son llamados estudios de tamizaje.

Ilustración: Oldemar González
Una mastografía es una imagen de la mama obtenida por medio de rayos X. El estudio completo consiste en dos imágenes para cada seno, las cuales son tomadas en dos direcciones: de la cabeza a los pies (cráneo-caudal) e inclinada apuntando hacia los pies (mediolateral oblicua), con un equipo diseñado y fabricado única y exclusivamente para este fin. Los especialistas buscan en estas imágenes o mastografías anomalías anatómicas, masas con características especiales o puntos blancos particulares que son llamadas microcalcificaciones.
Las mastografías deben ser de la mejor calidad posible, o sea que requieren de una alta resolución espacial para poder ver objetos muy pequeños, así como alto contraste, es decir, debe ser posible distinguir entre dos objetos que tienen un color parecido, como se muestra en la primera figura. Adicionalmente, en la realización de las mastografías debe equilibrarse la intensidad del haz de rayos X, ya que son radiación ionizante, lo que significa que tienen la energía necesaria para arrancar un electrón del átomo, así que, al pasar a través del cuerpo, depositan energía. La energía depositada por la radiación se cuantifica como dosis, equivalente a la de un medicamento, pero de ser mal empleada o en exceso podría tener efectos negativos en la salud, al igual que muchas medicinas.

Figura 1. En la figura (a) se muestra una imagen nítida, donde los círculos verticales muestran un bajo contraste (poca diferencia entre los tonos de azul) y, conforme disminuye el tamaño del círculo, cada vez es más difícil verlo. En cambio, en los círculos horizontales que tienen alto contraste, es fácil verlos a pesar del tamaño. La imagen (b) muestra la figura (a) con ruido, por lo que la resolución espacial y resolución en contraste se ven afectados. La imagen es cortesía de la autora.
El inicio de una técnica revolucionaria
El origen de la mamografía tiene antecedentes en 1913 con el cirujano Albert Salomon, quien realizó estudios de rayos X en mamas que habían sido resecadas o extirpadas como tratamiento para eliminar el cáncer. Él asoció características anatómicas a la malignidad de un tumor y la diseminación del mismo. Sus investigaciones se detuvieron en 1933 ya que fue despedido de la Universidad de Berlín por ser judío.
En 1930 el médico radiólogo Stafford L. Warren publicó el trabajo Estudio röentgenológico de la mama (antes, a los rayos X se les llamaban rayos Röentgen, en honor a Wilhelm Röentgen, quien los descubrió), en donde presentó los siguientes resultados: de 119 casos analizados, sólo 8 fueron falsos negativos (es decir, los estudios fueron malinterpretados y la paciente se consideraba sana cuando no lo era), y se encontró que 58 mujeres padecían carcinoma. De esta investigación se concluyó que las imágenes de la mama obtenidas con rayos X son una herramienta muy útil en la detección del cáncer de mama.
Para el año 1938 se planteó la necesidad de mejorar la técnica y aumentar la detección de patologías en etapas tempranas. El médico Jacob Gershon-Cohen comenzó a darle importancia a mejorar la calidad de la imagen; para ello confinó el haz de rayos X y no dejó que este saliera hacia todas partes, sino que éste sólo se concentrara en la región de interés (o sea, colimó el haz de rayos X). Con esto, el volumen de tejido que se irradió fue menor y mejoró el contraste de la imagen. Además, este médico hizo énfasis en la utilidad de la compresión de la mama para “distribuir” o “esparcir” las estructuras que están dentro y que todas sean visibles en una imagen plana.
Casi una década más tarde, el médico uruguayo Raúl Leborgne relacionó la presencia de microcalcificaciones con cáncer y recalcó la necesidad de comprimir la mama al destacar los beneficios, los cuales son: lograr distribuir las estructuras internas de la misma; facilitar la interpretación de la imagen por parte de los médicos; disminuir el volumen que atraviesa el haz de rayos X y reducir la radiación dispersa, lo que optimiza el contraste.
Perfeccionar la técnica
En 1965, el físico y radiólogo Charles Gros, en conjunto con la Compañía General de Radiología de Estrasburgo, en Francia, desarrolló el prototipo del Senographe, una máquina dedicada única y exclusivamente para obtener imágenes de mama.
El Senographe consistía en un tubo de rayos X especial, con componentes distintos a los usados para obtener imágenes de otras partes del cuerpo y contaba con un cono compresor que, además de las bondades mencionadas anteriormente, disminuyó el movimiento de la mama, por lo que las imágenes obtenidas con este aparato tuvieron menos ruido, mejor resolución espacial y contraste, además de que se sumó la novedad de que las mastografías fueron reproducibles.
En 1963, en una conferencia en el entonces llamado Hospital e Instituto de tumores M. D. Anderson (ahora, Centro de cáncer M. D. Anderson), de la Universidad de Texas, en Estados Unidos, se recolectó la información de 24 instituciones y los beneficios obtenidos al realizar mastografías preventivas. De las mujeres que formaron parte del estudio, del grupo que había sido diagnosticadas con algún tipo de tumor sospechoso, 71 % fueron correctos y la conclusión principal de toda esta información fue que, por medio de una mastografía, es posible diferenciar entre lesiones benignas y malignas. Además, se demostró que la mastografía preventiva es una herramienta muy poderosa, en particular, para mujeres que no tienen síntomas o que tienen masas que aún no son detectables en la autoexploración.
En ensayos clínicos de estudios de tamizaje realizados en Nueva York, de las mujeres que fueron reclutadas en el periodo de 1963 a 1966 y a las que se les realizó un seguimiento individual durante 5 años, se obtuvo que la tasa de muerte por cáncer en el grupo de las participantes se redujo en una tercera parte.
Mejorar cada paso
En 1972, en un estudio desarrollado por la compañía DuPont, se propuso usar un sistema que amplifica la señal y disminuye la cantidad de radiación necesaria para obtener la misma calidad de imagen. Lo que trajo como resultado un menor depósito de dosis de radiación e hizo más seguro realizar estudios rutinarios, es decir de tamizaje. El dispositivo es una capa de material (pantalla de centelleo) que, al interaccionar con los rayos X, produce luz visible, a la cual las radiografías son más sensibles. En 1975, Kodak lanzó un sistema similar (película-pantalla) que utiliza materiales con compuestos muy particulares, los cuales contienen elementos de tierras raras (que pertenecen a los lantánidos de la tabla periódica, se les denomina así porque es difícil encontrarlos en estado puro), y logró reducir aún más la radiación necesaria para generar una buena imagen.
Un factor importantísimo para el diagnóstico correcto es la capacitación del personal médico, por lo que también comenzaron a usarse maniquíes para el entrenamiento de radiólogos y se mejoró la interpretación de las imágenes. Los programas para el control de calidad de la imagen y procedimientos de adquisición comenzaron a publicarse en el año de 1986, con el proyecto llamado Demostración de Detección de Cáncer de Mama, dirigido por el médico radiólogo Myron Moskowitz del centro médico de Cincinnati.
En la década de los noventa, el Colegio Americano de Radiología, la Asociación Americana de Físicos Médicos, el Consejo Nacional de Protección Radiológica y la Sociedad Radiológica Norteamericana comenzaron a escribir protocolos, proyectos de ley y estándares para el control de calidad de las mastografías. En este punto ya se contaba con entrenamiento especializado, por lo que aumentó la probabilidad de detectar una lesión maligna en etapas tempranas.
Las mastografías hoy y lo que viene
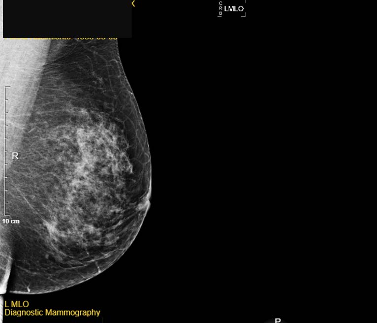
Las mastografías, como vigilancia e imagen diagnóstica, han mejorado con la eliminación de la película radiográfica y el uso rutinario de los detectores digitales. Si el cáncer de mama es detectado en etapas tempranas, hay una probabilidad de cura mayor al 90 %.

Figura 2. La imagen de una mamografía digital es cortesía de Alejandro Rodríguez Camacho.
Las investigaciones en la detección de lesiones han comenzado una nueva fase: la aplicación de inteligencia artificial. Estos nuevos procedimientos pretenden hacer reconocimiento de lesiones por computadoras y disminuir las interpretaciones erróneas debido al factor humano. Esta tecnología aún está en desarrollo y depende de la recolección de datos de miles de estudios interpretados por médicos radiólogos, por lo que al menos por algunos años más se debe continuar con el proceso convencional de ir a valoración cada año con el médico especialista.
Olga Olinca Galván De la Cruz
Doctora en Tecnología Avanzada del Centro de Investigación en Ciencia Aplicada y Tecnología Avanzada (IPN). Física en Hospital de la Unidad de Radioneurocirugía del Instituto Nacional de Neurología y Neurocirugía.
Agradecimientos: A Elisa T Hernández por la corrección, edición y acompañamiento durante la escritura de este texto y Alejandro Rodríguez Camacho por las imágenes.
La OMS reconoce que las hormonas estradiol y progesterona aumentan el riesgo de cáncer de mama. ¿Se les advierte a las mujeres que al usar anticonceptivos hormonales aumentan la incidencia de cáncer de mama ?
Si. Este es uno de los factores de riesgo definitivamente. Lo importante de este aporte es que la mastografía es el mejor aliado que tenemos para diagnosticar tempranamente un cáncer de mama